
|
| Início » Trabalhos - Lista de Cursos » Enfermagem » Anatomia |
|
Anatomia e Fisiologia Humana Tecido Nervoso |
|
|
Autor: Vânia Dinis Instituto Politécnico de Portalegre Data de Publicação: 07/03/2007 N.º de páginas visitadas neste site (desde 15/10/2006): SE TENS TRABALHOS COM BOAS CLASSIFICAÇÕES ENVIA-NOS (DE PREFERÊNCIA EM WORD) PARA notapositiva@sapo.pt POIS SÓ ASSIM O NOSSO SITE PODERÁ CRESCER. |
|
TECIDO NERVOSO
Nota introdutória
No âmbito da disciplina Anatomia e Fisiologia Humana inserida no 1º semestre do 1º ano do curso de Licenciatura em Enfermagem, foi solicitado pela Enfermeira Sofia Roque, docente desta mesma disciplina na Escola Superior de Saúde de Portalegre, a realização do presente documento. No sentido de concretizar este trabalho foi realiazada uma pesquisa orientada pelos seguintes objectivos: . Identificar e descrever as estrutura básica dos tecido nervoso. . Localizar o tecido nervoso. . Enumerar as caracteristicas funcionais do tecido nervoso.
Tecido Nervoso
O que é um tecido?
Tecidos são conjuntos de células similares e das substâncias que a envolvem. As células especializadas e a matriz extracelular envolvente formam todos os diferentes tipos de tecidos encontrados a nível de organização tecidular. A classificação dos tecidos baseia-se na estrutura das células; na composição das substancias não celulares que as envolvem, a matriz extracelular e nas funções das células
Classificação dos tecidos
Um tecido é classificado tendo em conta diversos factores tais como: . Estrutura das células . Composição das substancias não celulares que as envolvem . Matriz celular . Funções das células
Tecido nervoso
O tecido nervoso cobre todo o sistema nervoso, o qual se divide em: . Sistema nervoso central, é constituido pelo encéfalo e medula espinal . Sistema nervoso periférico, é constutido pelos nervos e ganglios nervosos
Características: Encontra-se no cérebro, medula espinal, e nervos que percorrem o corpo. Em particular está em contacto com os músculos, regulando o seu movimento, e com os tecidos glandulares regulando a sua actividade secretora.
Composição: O tecido nervoso é formado por células excitáveis especializadas em transmitir estímulos ou impulsos nervosos graças a uma série muito complexa de actividades físico-químicas da sua membrana. As células que formam o tecido nervoso podem ter diversas formas, características, comprimentos e funções muito diversas, segundo o papel desempenhado por cada uma.
Fig.1-Tecido nervoso
CÉLULAS DO SISTEMA Nervoso
As células do sistema nervoso dividem-se em: . Neurónios – os quais são responsáveis pelas funções receptivas. . Células da Glia ou Neuróglia – as quais são responsáveis pela sustentação e pela protecção dos neurónios.
Neurónios
Os neurónios são considerados a unidade básica do sistema nervoso. Estas são as verdadeiras células condutoras do tecido nervoso as responsáveis pela recepção e pela transmissão dos impulsos nervosos sob a forma de sinais eléctricos. Estas células não têm a capacidade de se regenarar.
Os neurónios são compostos pelo corpo celular ou Pericário , Dendrites e Axónios.
Pericário ou corpo celular: é nesta estrutura que se dá a sintese proteica, sendo também nesta aqui que ocorre a convergencia das correntes eléctricas geradas na árvore dendrítica. Cada corpo celular neuronal contém apenas um nucleo que se encontra no centro da célula. É também nesta estrutura que estão alojadas todas as funções celulares em geral. Dendrites: São extensões citoplasmáticas ou prolongamentos especializados em receber e transportar os estimulos das células sensoriais, dos axónios, e de outros neurónios. Possuem múltiplas ramificações e extremidades arborizadas, o que lhes dá a capacidade de receber multiploa estimulos de vários neurónios em simultaneo. Axónios: são prolongamentos único (excepto nas células amácrinas da retina), de calibre constante ao longo da ramificação, variando somente entre os neurónios. Normalmente existe apenas um unico axónio em cada neurónio. Os axónio têm como função a condução dos impulsos eléctricos que partem do corpo celular para outros neurónios, músculos, ou glândulas.
Fig-2 Estrutura de um neurónio.
Classificação dos neurónios: Os neurónios podem ser divididos e classificados segundo algumas caracteristicas particulares como a forma e a função.
Quanto à forma: Multipolares: pertencem a esta classe a maior parte dos neuronios; ex.: neuronios motores. Bipolares: em condições normais possuem um dendrito e um axônio; este tipo de neurónios pode ser encontrado na retina e mucosa olfativa. Unipolares: sendo muito raros este tipo de neurónios possuem apenas um corpo celular e um prolongamento. Pseudounipolares: aquando do desenvolvimento embrionario este apresenta-se bipolar, sofrendo uma mutação posterior. Mais tarde torna-se unipolar devido a crescimento assimetrico do citoplasma e rotação;estes possuem ainda arborizações terminais que funcionam de forma semlhente aosdendritos; este tipo de neurónios podera ser encontrado nos gânglios espinhais.
Quanto à função: Motores (eferentes): controlam órgãos efetores, como glândulas e fibras musculares. Sensoriais (aferentes): recebem estímulos do organismo ou do ambiente. Interneurônios: estabelecem conexões entre outros neurônios, formando circuitos complexos. A enorme variedade de neurónios deve-se a 2 factores, sendo estes a existencia de uma grande variedade do ponto de vista da morfologia neuronal, e a existencia de uma grande diversidade de neurotransmissores.
Fig-3 a)interneurónios; b) neurónio eferente; c) neurónio aferente
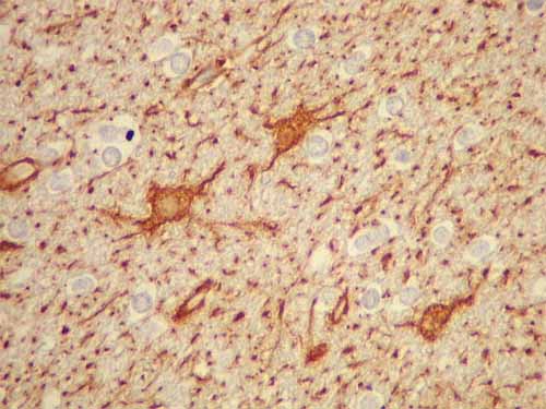
Células da Glia ou Nevroglia
Estas células são consideradas o suporte do cérebro, da medula espinal e dos nervos periféricos.Não recebem nem propagam impulsos nervosos, sendo a sua principal funçãoa alimentação e protecção e a sua actuação como células isoladoras dos neurónios.
As células gliais dividem-se em diferentes tipos, sendo alguns deles:
Astrócitos – Existem dois tipos destas células:
. Protoplasmáticos: com várias ramificações curtas, essencialmente na matéria cinzenta;
Fig-4 – astrócito protoplasmático
. Fibroso: com prolongamentos longos com poucas ramificações, essencialmente na substancia branca.
Fig-5 – astrócito fibroso
Funções: -captam os neurotransmissores - funções metabólicas - constituintes do esqueleto do tecido nervoso - síntese de factores Neurotróficos. - têm prolongamentos inseridos nos vasos sanguíneos
Oligodendrócitos – possuem um corpo celular arredondado e de pequenas dimensões, com poucos prolongamentos, curtos, finos e pouco ramificados
Funções: - exercem papeis importantes na manutenção dos neurónios - síntese das bainhas de mielina dos axónios do SNC
Fig-6 - oligodentrocito
Células Microgliais
Características: - Células com origem na Medula Óssea
Funções: - defesa imunológica do SNC (têm capacidades fagocíticas e antigénicas) -ingerem e destroem bactérias e células; ao morrerem, segregam proteínas que atraem macrófagos do sistema imunitário para o local infectado.
Fig-7 células microgliais coradas de azul
Conclusão
Ao realizar este trabalho podemos verificar o quão complexo é o tecido nervoso, as funções que desempenha e a importância que tem para a vida do ser humano.
Bibliografia
GARTNER,L.;HIATT,J.(1999). Tratado de Histologia em cores. Rio de Janeiro, Editora Guanabara Koogan S.A. SAYALERO,M. (coordenação).Atlas Ilustrado de Anatomia. Sintra, Girassol Edições lda. Tortora, Gerard J; Corpo Humano; Fundamentos de Anatomia e Fisiologia - 4º Edição;Artmed Editora,2000 Apontamentos da aula teorica de histologia; Faculdade Medicina da Universidade do Porto
|
|
Para saber mais sobre este tema, utilize o Google: |
| Início » Trabalhos - Lista de Cursos » Enfermagem » Anatomia |
© 2006 - NotaPositiva | Todos os direitos reservados